案例:
20岁的刘同学,平时身体健康,无任何不良嗜好,却在一个傍晚,毫无征兆地不省人事,性命垂危。父母看到他全身抽搐、舌头紧缩、口吐白沫,连忙拨打120送往医院。
经检查,刘同学的大脑状态在短时间内急剧恶化,多处脑出血和肿胀、头颅CT血管影像中很多静脉血管消失。
经医生确诊,刘同学患的是一种特殊脑梗,致死率可以高达30%~40%,是普通脑梗死亡率的3倍以上!

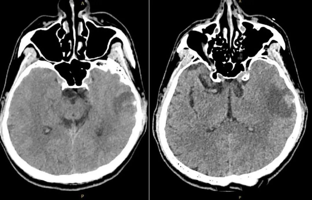
图1. 头颅CT(发病后1周):左侧颞叶血肿可能。

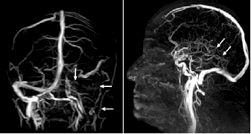
图2.左图示左静脉窦及颈静脉均无血流;
右图示深部静脉系统无血流(→)。
这么危险的脑血管疾病,怎么会突然出现一个身体健康的青年身上?听听医生怎么说。
壹
这种特殊脑梗
毫无征兆、却致死率极高!
医生在看过患者影像学报告后告诉我们,刘同学所患脑梗的特殊之处在于,它并不是由于大脑动脉的梗塞,而是静脉脑梗。

图3. 脑静脉系统解剖示意图。蓝色血管代表深静脉系统。
1 它是致命的“大脑炸弹”
正常情况下,我们的血液在一个循环系统里面,有正常的流入和流出。
当静脉堵塞时,动脉血依然可以源源不断地给大脑供给,但是无法很好地回流到心脏了,血液只进不出、瘀滞在大脑里面,从而出现脑水肿,甚至血管爆炸、危及生命。
2 特殊脑梗的“罪魁祸首”
我们以往说脑梗是因为“三高”,即高血糖、高血压和高血脂经年累月累积的结果。
但刘同学48小时内就发生了脑梗,这主要与血液粘稠度高有关。
那究竟哪些习惯导致血粘度升高?
01
餐后缺水
根据中国居民膳食指南,建议成年人每天摄入的盐分要在6克以内。而刘同学口味重,喜欢吃方便面、咸豆腐脑、麻辣拌等高盐食物。
相关测试发现,仅仅一碗298.2克的小葱拌豆腐,就含有6.52克盐,超过了一天的推荐摄盐总量。加上他不爱喝水,这可能会导致其身体脱水,血液粘稠度增加,甚至增加特殊静脉脑梗的风险。因此,我们应该降低盐分摄入,并在餐后摄入充足的水分。
02
夜间缺水
夜间水分大量流失,我们血液的粘稠度比较高,起床后应及时喝一杯白开水。建议水温在25℃左右,这样水分子与人体的细胞亲和性最佳,细胞的吸水能力最强,补水效果最佳。然后就是早上喝水在150~200毫升是比较不错的量,能够充分补充水分而不会过撑。
贰
2个自测方法
判断身体是否缺水

01
揪手背皮肤
手伸直,揪手背皮肤,正常情况下,揪起来会有褶皱。松手后,若皮肤立刻恢复原样,则体内水分充足;若松手后,皮肤维持褶皱3秒以上,则说明机体严重缺水。
02
8小时定律
工作忙起来后,大家往往意识不到口渴,但只要8小时不排尿,则预示体内缺水,应及时补水。

根据中国居民膳食指南,女性每天至少要摄入1500ml的水,男性每天至少要摄入1700ml的水。建议大家每天七次饮水,每次200ml~250ml。
成都西南脑科医院预约挂号平台
· 为了获取会员信息,展示头像昵称,开发者将在获取你的明示同意后,收集你的微信昵称、头像。
· 为了获取地理位置,展示位置/辅助快速选择,开发者将在获取你的明示同意后,收集你的位置信息。·
为了获取手机号,商家收集线索,开发者将在获取你的明示同意后,收集你的手机号。
· 为了海报及图片保存/下载,用户分享海报,开发者将在获取你的明示同意后,使用你的相册(仅写入)权限。· 为了获取用户的微信运动数据,用于步数星球项目的步数相关功能的使用,开发者将在获取你的明示同意后,收集你的微信运动步数。
· 为了用于语音红包项目,录入用户语音功能使用,开发者将在获取你的明示同意后,访问你的麦克风。·
为了脸战项目使用,用于拍摄用户头像并上传到系统进行评分,开发者将在获取你的明示同意后,访问你的摄像头。
· 开发者收集你的地址,用于获取微信地址辅助快速填写表单。
· 开发者收集你选中的照片或视频信息,用于上传图片/视频,商家收集线索。
· 开发者收集你的设备信息,用于分析处理相关系统稳定性和兼容性问题。
· 开发者收集你选中的文件,用于上传文件,商家收集线索。
·成都西南脑科医院门诊小程序由上海微盟企业有限公司代为开发,开发者保证,上海微盟企业有限公司将在本指引规定范围内处理你的个人信息。
关于你的个人信息,你可以通过以下方式与开发者联系,行使查阅、复制、更正、删除等法定权利。
-邮箱∶W-Feedback@outlook.com
开发者承诺,除法律法规另有规定外,开发者对你的信息的保存期限应当为实现处理目的所必要的最短时间。
5.1开发者将会在本指引所明示的用途内使用收集的信息
5.2 如开发者使用你的信息超出本指引目的或合理范围,开发者必须在变更使用目的或范围前,再次以小程序浮窗方式告知并征得你的明示同意。
成都西南脑科医院或其关联公司在必要时有权根据注册时或接受服务时所提供的联系信息(包括但不限于电子邮件地址、联系电话等),通过电子邮件.电话.短信.即时聊天.弹出页面等方式向用户发送如下信息∶
(1)各类重要通知,可能包括但不限于订单、交易单、修改密码提示等重要信息。此类信息可能对用户的权力义务产生重大的有利或不利影响, 用户务必及时关注
(2)商品和服务广告,促销优惠等商业性信息。若用户不愿意接收此类消息,则可通过告知(书面)的方式通知医院或其关联公司取消发送,亦可通过医院所提供的相应退订功能(若有)进行退订。
-邮箱∶W-Feedback@outlook.com 更新日期2022年2月15日生效日期2022年2月15日